歯の事でお悩みはござませんか? 審美治療がそのお悩みを解決します。
- 痛いところがある
- 上手く噛めていなくて調子が悪い
- 治療後の歯の金属が気になる
- 歯と歯の隙間が気になる
- 笑うとき、口を手で隠してしまう
当院では、患者さまからのお口についてのお悩みに対して、適切な治療をご提案していきたいと考えています。アンレー・インレー(詰め物)やクラウン(被せ物)、歯を薄く削って貼り付けるラミネートベニアといった近年の素材は、見た目も美しく、大きな虫歯や壊れてしまった歯、隙間の開いてしまった歯などの修復に最適です。
美しい歯は、相手にも好印象を与えるものです。
何かお悩みがありましたら、些細なことでもお気軽にスタッフまでご相談ください。
治療内容・治療費・治療方法などについて、できるだけわかりやすくお伝えしたいと思っております。
クラウン(被せ物)
歯が壊れたり、虫歯などにより歯に大きな穴があいていたりする場合は、クラウンと呼ばれる被せ物をします。また、大きさが不揃いな歯や、歯に隙間があいてしまっている場合も、歯をひと回り削り、クラウンを被せることにより解消することができます。
オールセラミッククラウン
素材にセラミックだけを使用し、自然な歯の形や色合いを取り戻すことができます。最近では、金属と同等の強さをもった素材を使用するため、信頼性が増しました。
虫歯再発のリスクも低く抑えることができるうえに、審美性が高く、プラークが付着しにくいため清潔を保つこともできます。また、金属が含まれていないので、金属アレルギーの心配がありません。
メタルボンドクラウン
金属フレームにセラミック素材を焼き付けたもの。セラミック部分はオールセラミッククラウンの素材と同じなので、色は自然に近く、摩耗に強いものです。
しかし、金属フレームに焼き付けているため、歯の裏側は金属が見えてしまい、審美性に欠ける部分があります。また、昨今の金・白金の高騰で、材料代が高価になり患者様の負担が増えるだめ、当院では、ほとんど使用していません。
ハイブリッドセラミッククラウン
ハイブリッドセラミックとは、プラスチックにセラミック粉末を混ぜたものです。メタルボンドクラウンと同じように、金属フレームにコーティングする場合と、ハイブリッドセラミックのみで作成する場合があります。
摩耗性・審美性・強度はプラスチックよりも優れますが、耐久性に劣り、長期にわたってはやはり変色や摩耗が生じてきます。
レジン(プラスチック)前装クラウン・プラスチッククラウン
保険が適用されます。そのため費用の負担は小さいですが、変色しやすく、強度が低いのが難点。プラスチックであるため、どうしても毎日の歯磨きで少しずつ削れていってしまいます。前装クラウンは、金属にプラスチックを接着したものです。いずれの場合も、プラークが付きやすいので、歯周病の心配もあります。人によっては金属アレルギーを起こすこともあります。
アンレー・インレー(詰め物)
アンレー・インレーとは、治療などにより歯に穴があいてしまった場合、その穴を埋めるために作成したものをはめ込んで、使用する方法のことです。アンレーは、インレーより広範囲になるけれども、クラウンほどは、修復する範囲が広くない場合に、そう呼ばれます。素材にはさまざまな種類があり、患者さまに合った素材を使用します。
オールセラミックアンレー・インレー
セラミックだけを使用した素材のアンレー・インレー。自然な歯の形や色合いを回復することができます。最大の特徴は、金属と同等の強度を持っていること。衝撃に強く、金属アレルギーの心配もありません。
また、虫歯の再発のリスクも少ないというメリットもある信頼性の高い材料です。
ハイブリットセラミックアンレー・インレー
プラスチックにセラミック粉末を混ぜた素材です。自然な歯の色が表現でき、目立ちにくいのがメリットです。オールセラミック同様、金属を含まないので金属アレルギーの心配がありませんが、オールセラミックよりも耐久性が低く、時間の経過によって多少の変色や摩耗を起こしてしまいます。
金属パラジウム合金アンレー・インレー
保険の適応するインレー。素材には銀やパラジウムが多く含まれているため、銀色をしています。そのため口の中で目立ちがちです。また、素材中の銀イオンやパラジウムイオンにより金属アレルギーになる可能性があり、ほかの素材に比べて虫歯再発のリスクも高くなってしまいます。
ラミネートベニア
表面を薄く削り、付け爪のように薄いセラミックの板を強力な接着剤で固定する、歯科治療における新しい治療法です。
素材にはプラスチックとセラミックがありますが、ほとんどの場合、セラミック(ポーセレン)でつくります。非常に薄いものを作製するので、高度な歯の形成技術と技工物の作製技術が必要です。
また、完全に接着剤の力だけで維持する方法なので、繊細で高度な知識と技術を必要とします。この操作が十分でないと脱落することになりますが、当院ではいまだに脱落したことはありません。
審美治療症例
メタルボンドクラウン
治療前
治療後
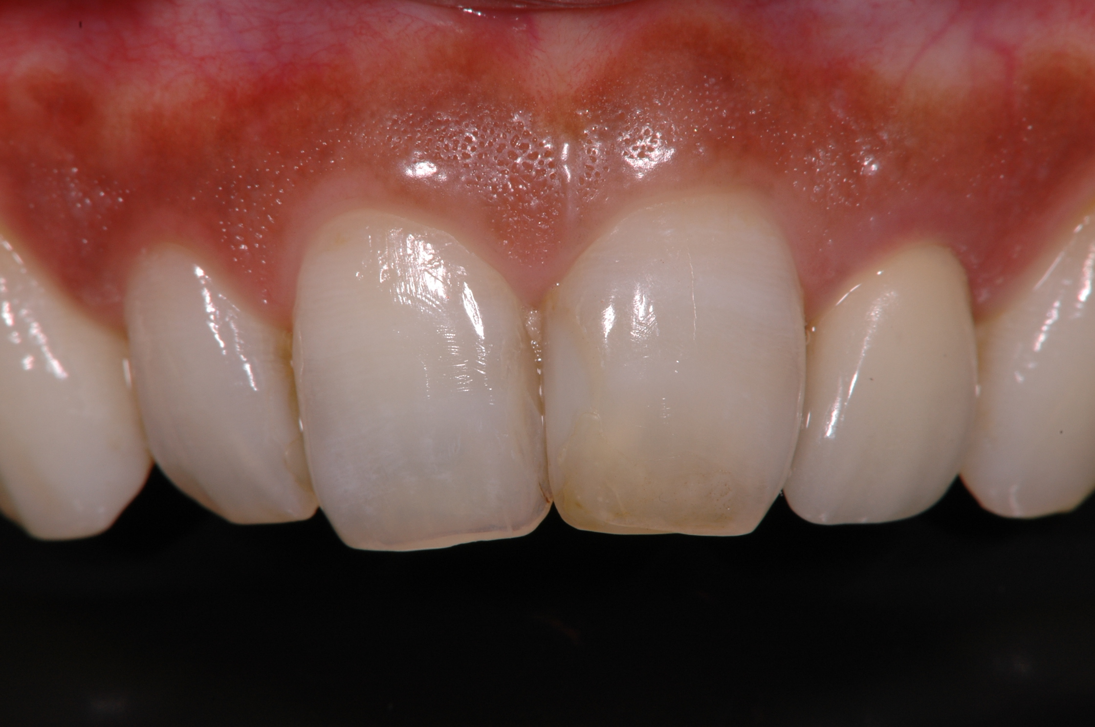
オールセラミッククラウン
治療前
治療後
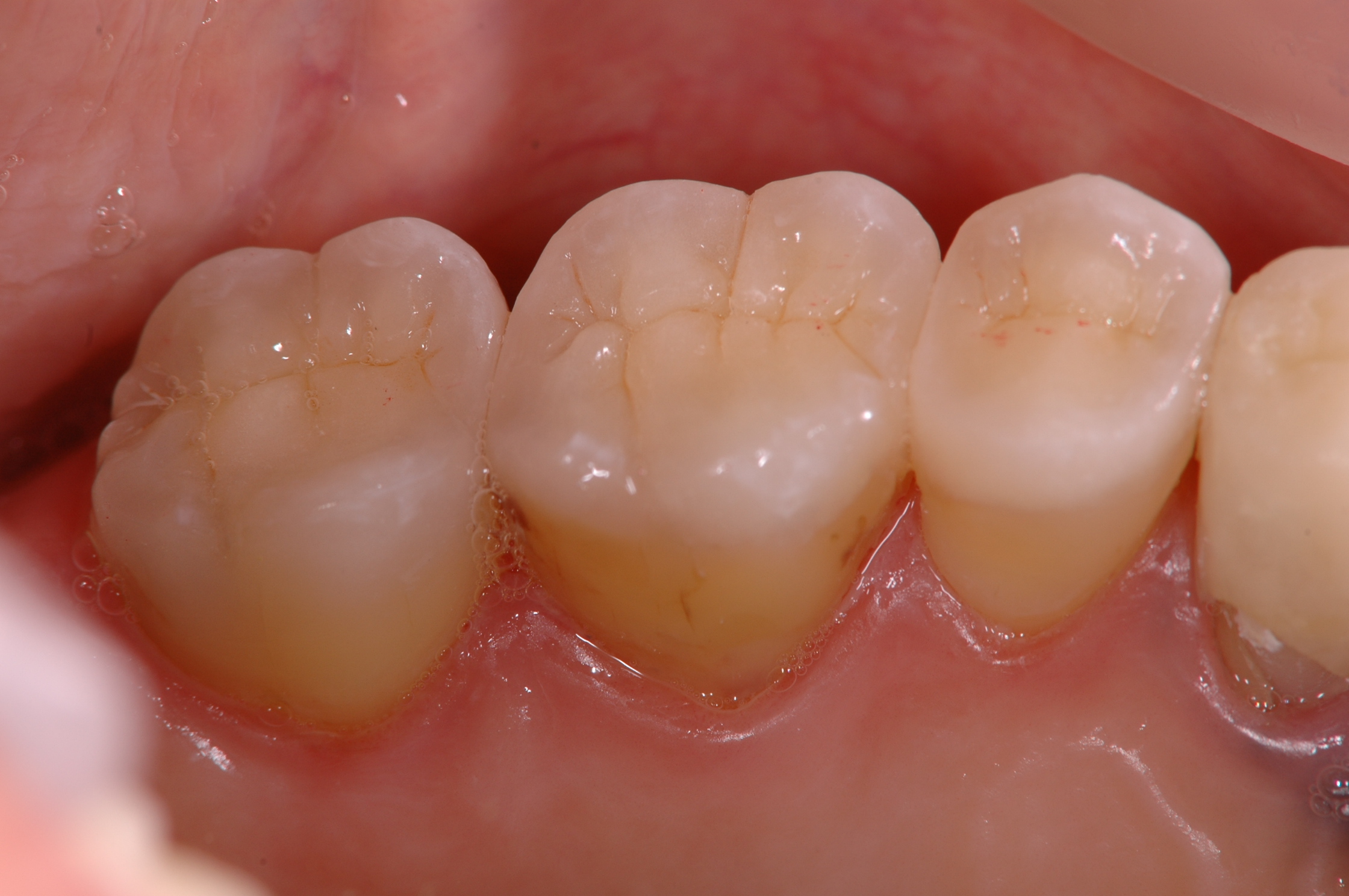
オールセラミックアンレー
治療前
治療後
ポーセレンラミネートベニア
治療前
治療後
ホワイトニング
笑うときに手で口を隠したり、人前で口を開けて笑うことをためらったりしていませんか?
ホワイトニングは、ホワイトニング剤を使用して色素を分解し、歯を白くする治療法です。この治療で白く美しい歯と、自信のある笑顔を手に入れることができます。
病院で行う「オフィス・ホワイトニング」と、自宅で行う「ホーム・ホワイトニング」があり、どちらか一方でも効果はありますが、両方を並行して行うことでより効果を得ることができるでしょう。
また、1年に1~2回の「メインテナンス・ホワイトニング」を行う事も大切です。
オフィス・ホワイトニング
1 Zoom Advanced Power(ズームアドバンスドパワー)
当院では、アメリカでシェアNo.1の「Zoom Advanced Power(ズームアドバンスドパワー)」を導入しています。
NASAで開発された紫外線を含む強い光により、専用のホワイトニングジェルを活性化することで、上下の歯を一度に白くします。ホワイトニングジェルによる知覚過敏や、光に含まれる紫外線対策も同時に行うので安心・安全です。15分の照射を2回行うことで、6~8段階白くなります。
※上下同時38,500円(税込)
2 Opalescence Boost PF(オパールエッセンスブーストPF)
少数の歯をホワイトニングする際には、「Opalescence Boost PF(オパールエッセンスブーストPF)」を使用します。知覚過敏を軽減させる効果があります。
※1本あたり5,500円(税込)
ホーム・ホワイトニング
1 GO SMILE(ゴースマイル)
ホワイトニング薬剤がブラシに付いているもので、どこでも簡単にホワイトニングが行えます。衛生的な使い捨てアンプルに入っており、また、歯のホワイトニングと同時に、チップブラシによる着色除去やプラーク除去、ペパーミント味による公衆予防の効果もあります。
処置は白くしたい歯の表面に塗るだけ。ただし、使用後20分は飲食不可です。塗った後のうがいや歯磨きも不要です。朝夕2回使用し、1週間で6~8段階ほど白さがアップします。
※1週間分セット16,500円(税込)
2 Day White 9.5% ACP(デイホワイト)
ディスカス社の特許成分ACP(不定形リン酸カルシウム)配合のホワイトニング剤です。
ACPは、歯の表面をハイドロキシアパタイトでコーティングし、エナメル質を修復すると同時に歯の光沢を増してくれます。
また、フッ素の摂取を高める効果もあるため、知覚過敏の防止にも効果があります。デイホワイトをトレーに入れて、1日2回30分装着します。約2週間使用して6~8段階白くします。
※トレー制作費用1個11,000円(上下では2個必要です)(税込)
※5日分ジェル1本4,400円(税込)
メインテナンス・ホワイトニング
たばこはもちろんのこと、コーヒーや紅茶、コーラ、カレー、赤ワインなど、日常生活には歯に着色を進める飲食物、嗜好品にあふれています。少しでも長く効果を持続させるためには、毎日の歯のお手入れと同じように、歯の色のお手入れも必要です。
毎日のお手入れに加え、メインテナンス用材料を使用してお手入れすることをおすすめします。それでも再着色が認められるようであれば、1年に1~2回のメインテナンス・ホワイトニングを行うことにより、ホワイトニングした直後の白さに戻すことができます。
1 Sylotee&Polosh(シロティ&ポリッシュ)
丸みを帯びた滑らかな研磨剤のケイソウ土を高品質ソフトシリコンにつけて、歯の表面を磨き、その後よくうがいをして終了です。歯の表面の着色や黄ばみを除去し、フッ素の力で歯の石灰化を促進させます。毎日のお手入れに最適のメインテナンス剤です。
※1セット825円(税込)
2 Whitening Pen(ホワイトニングペン)
筆先から出てくるジェルを歯の表面に塗布して使用します。使用後はうがいの必要がなく、毎日や週に1回、月に1回のメインテナンスに使用すると効果があります。
※1セット8,250円(約30回使用できます)(税込)
3 「GO SMILE(ゴースマイル)」
ホーム・ホワイトニングに使用する「GO SMILE」もメインテナンスとして使用できます。
4 「ホワイトニング成分入り歯磨剤」
ホワイトニング成分がごく少量入っている歯磨剤です。フッ素も入っているため、日常のお手入れとしても使用できます。
通常の歯磨剤より少し割高です。時期により最新のものを準備しておりますので、ご希望の方はスタッフにお尋ねください。
ホワイトニング症例
治療前
治療後
メラニン除去
黄色人種である日本人は、メラニン色素沈着が多いとされています。しかし、口腔内は、案外少ないものです。しかし、加齢やたばこなどの反応により、歯肉にメラニン色素沈着がおこる場合があります。
一般的に、歯肉表層に沈着していることが多いので、その部分を除去すれば、きれいな歯肉にもどります。
ほとんど、痛みもありませんので、気になる方は、一度ご相談ください。
レーザーで焼く方法もありますが、痛みを伴うこともありますので、当院では、痛みのほとんどない、薬剤によるメラニン色素除去をおこなっています。
治療前
術前 むし歯治療の変色やメラニン色素沈着があり、全体的に黒ずんだ雰囲気です。
治療中
メラニン色素除去 歯肉に薬剤を塗布します。麻酔は不要ですし、ほどんど、痛みはありません。1週間程度は、白い歯肉の状態ですが、その後はがれていきます。
治療後
術後 むし歯の治療、オールセラミッククラウンの治療、メラニン色素除去により、明るいお口になりました。
審美治療のメインテナンス
審美治療に使用されるセラミック(ポーセレン)は陶器と同じです。汚れも付きにくく、変色もありません。ですが、すべての治療はご本人の歯に接着しているため、その自分の歯が悪くなると、セラミックの安定もおびやかされます。
また、セラミックはツルツルしていて汚れにくいため、歯磨きを短時間で済ませてしまうなど、材料の利点を過信しがちです。歯と歯の間や歯ぐきの境目など、時間がかかる部分もあるので、定期的なメインテナンスによって磨き残しのある部分を確認し、着色を取り去ることにより、美しい状態を長く保ちましょう。

