自費診療ですが、隣の歯を削らずに治療をすることができます。ほかの健康な歯に負担をかけずに済み、天然の歯と同じような噛み心地が特徴です。
当院では、長年の経験と実績を誇る歯科医師が、それぞれの患者さまに合った適切な方法で治療いたします。治療にあたり、使用する冠を作製する高度な技術を持つ専任の歯科技工士、咬み合わせ調整を専門に行う歯科医師など、それぞれのプロフェッショナルが患者さまをサポートします。
治療後も定期的なメインテナンスやお手入れ方法の指導など、長期的に安定するインプラント治療を目指しています。
インプラントの治療法
インプラントを顎の骨に埋入する手術が必要となる治療法で、「抜歯即時インプラント」や「上顎洞挙上法」などがあります。
現在はチタンでできたインプラントが主流となっています。当院では、臨床成績や研究などを考慮し、その時点で最良のインプラントを取り入れています。
抜歯してしばらく経過し、骨の状態が十分に良好な部位に関しては、切開せずにインプラントを埋め込むこともできるようになりました。
インプラントが骨と結合した後に、インプラントを露出させる切開が必要な2回法と、不要な1回法があり、患者さまの状態に最適な方法を選択します。
「骨を削る」というイメージからか、手術が怖いと思われる方も多いのですが、虫歯の治療で歯を削るのと同じような感覚で処置が可能です。患者さまの痛みを軽減するため、切開部分はできるだけ小さくなるよう努めています。
抜歯即時インプラント
色々な理由で、歯を抜かなければならなくなった場合、その歯を抜いた直後にインプラントを行う方法です。
通常、抜歯後半年から1年経過した後に、インプラントを行っていますが、抜歯とインプラントを同時に行うことにより、手術が1回で済み、人工の歯をつくるまでの期間が短縮できます。治療する患部や患者さまの状態によっては、骨造成を実施することもあります。
上顎洞挙上法
上顎は、鼻の奥の空洞の大きさにより、骨が不足することがよくみられます。その場合、今までは、義歯で対応することが多くありましたが、上顎洞を押し上げて骨を造成することで、インプラントが可能になります。CTなどを撮影しながら、より適切なインプラント法を選択します。
治療の流れ
1検査
治療には、情報収集が必要です。的確で迅速な治療が行えるよう、CTやレントゲン撮影、咬み合わせ、歯や歯肉の状態など、必要となる検査を十分に行います。
2診断・コンサルテーション
検査結果を元に、現状や治療内容、治療期間について、十分に説明し、治療スケジュールを作成いたします。治療方法は、予算・治療期間などご要望をうかがいながら決定いたしますので、お気軽にご相談ください。
十分な対話をすることで、治療内容などを理解していただき、患者さまの不安や疑問を取り除きたいと思っています。
3インプラント手術
目的の部位に麻酔を行い、歯肉を切開し、適切な量の骨を削除します。
次にインプラント本体を埋め込み、切開した歯肉を縫合します。必要に応じて、骨の再生治療を行うこともあります。ほとんどの場合、麻酔後30分ほどで終了します(1回法の場合の手術はこれで終了です)。
術後1週間後してから、状態の確認と抜糸を行います。その後、インプラント本体と骨の結合を待ちます。これは大体2~3カ月ほどです。
2回法の場合は、骨との結合が確認されたら、歯肉を少しだけ切開し、インプラントを露出します(インプラント1回法の場合は、この処置は不要です)。
4冠作製
インプラント手術後、2~3カ月程度経過した後に、人工の歯を作製する治療に移ります。まず、インプラント本体に適切なアバットメント(冠を支える部分)を装着し、歯型をとって精密な技工作業により人工の歯を作製します。さらに、適切な咬み合わせに調整します。
5予防・メインテナンス
治療後の予防・メインテナンスはとても重要です。インプラント周囲炎を引き起こさないように、毎日のお手入れ方法をご説明します。また、定期的に来院していただき、歯肉や咬み合わせの状態をチェックし、長期的に安定した状態を目指します。
インプラントの料金
インプラント治療は自費治療になります。1本あたり22~27万円です(冠は別料金です。難しい治療では付加治療が必要な場合もあります)。
インプラント治療費が気になるという患者さまは多くいらっしゃいます。しかし、失った体の組織に適合して、自然でよく噛める歯を再生するためには、人工臓器という側面があり、完全にオーダーメイドとなります。
毎日毎日、長い間使用するのですから、安易に安価なインプラント治療を行うのではなく、適切な材料を選び、繊細な手術を行い、精密な冠を装着することが大切です。そのためにはいろいろな作業が必要となり、費用が発生します。
食事をおいしく食べることができたことに、感謝の意味を含めて、100円の付加価値があるとします。1日3食、1カ月で約1万円の付加価値になります。すると、1年で12万円、10年間もおいしく食べることができれば、120万円の付加価値があるといえるのです。
| ブリッジ(Bridge) | 2つ以上の歯を削り、それらの歯がつながった物を接着剤で装着する治療法です。天然の歯と同じような噛み心地ですが、ブリッジの土台となる歯を削る必要があり、削った歯だけで噛む力を支えます。 歯がつながっているので細菌や汚れが残りやすく、その結果虫歯や歯肉の炎症も起こりやすいので歯磨きには注意が必要です。保険診療と自費診療があります。 |
|---|---|
| 義歯(入れ歯)(Denture) | 支えとなる歯にごく少量のくぼみをつけ、引っかける装置を作製します。食後には取り外して清掃する必要があります。天然の歯と比べると噛みにくく異物感があります。支えとなる歯に細菌や汚れが残りやすく、虫歯や炎症が起こりやすいので、歯磨きには注意が必要です。 |
| インプラント |
|
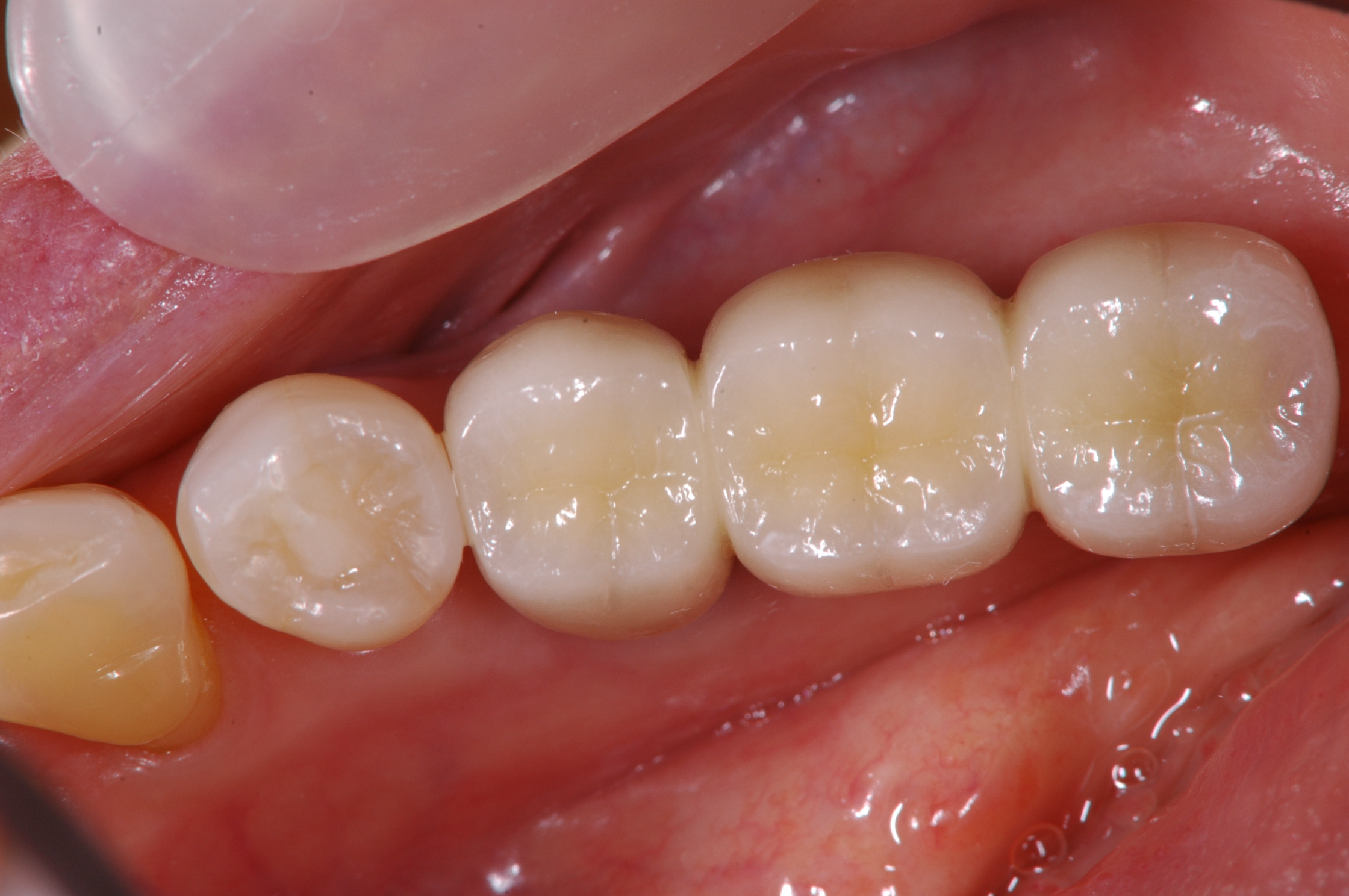
インプラント症例
部分欠損
治療前
インプラント後
治療後
上顎洞挙上
治療前
治療後
レントゲン写真
インプラントのメインテナンス
適切な手入れを怠ると、インプラントの周囲の歯ぐきが腫れ、インプラントを支える骨が溶けるようなインプラント周囲炎が生じます。
インプラント治療をした周辺の組織は、免疫力が弱いので、天然の歯と同じように十分な清掃が必要です。
定期的にメインテナンスをすることで、炎症を未然に防ぐことができます。インプラントは自費治療のため、メインテナンスも自費治療となります。患者さまの負担をできるだけ少なくするために、当院では安価な費用(1回1本500円)に設定しています。保険制度の中でのインプラント治療をご理解いただき、定期的なメインテナンスをお願いします。

