インプラント
下顎欠損
初診時
インプラント埋入後2か月
最終補綴物装着
下顎欠損
初診時
インプラント埋入後最終補綴物
治療後レントゲン写真
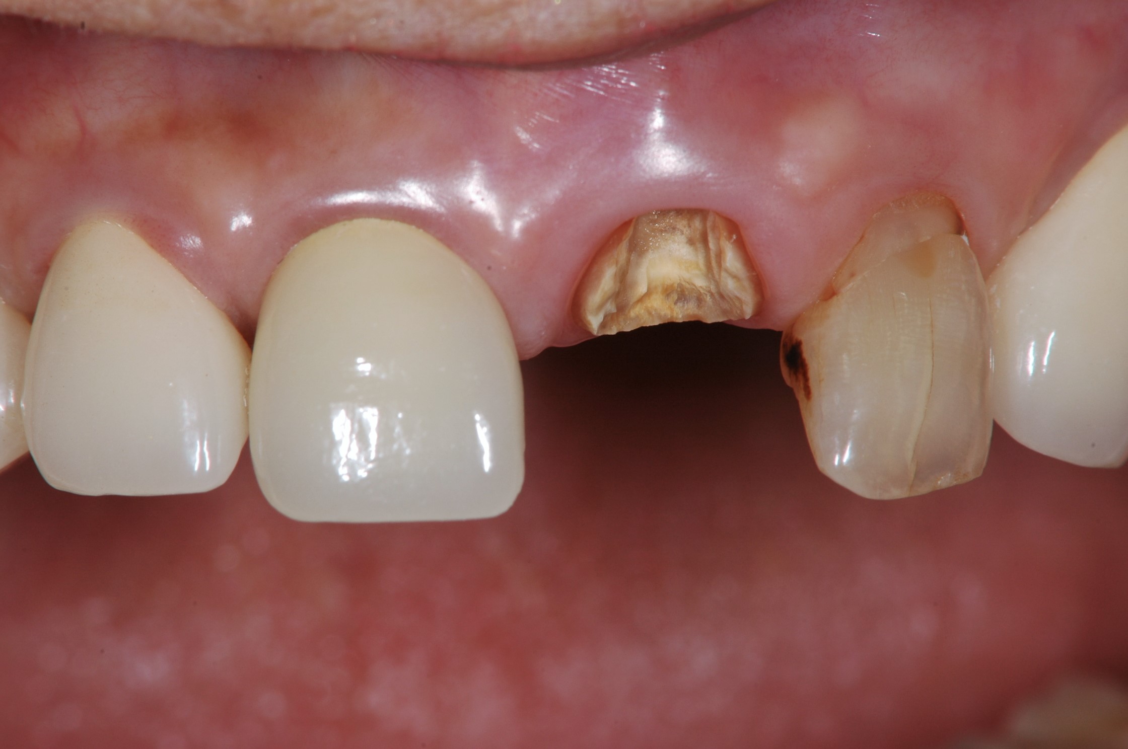
上顎欠損 抜歯即時埋入
初診時
インプラント埋入後最終補綴物
治療後レントゲン写真
総義歯
インプラント埋入後2か月
義歯にアタッチメント装着
治療後レントゲン写真
ラミネートベニア・審美治療
ラミネートベニア
初診時
治療後
治療後舌側

